2026知到答案 心血管疾病常用辅助检查判读(浙江大学) 最新智慧树满分章节测试答案
第一章 单元测试
1、单选题:
患者男性,75岁,突发胸痛8小时入院。心电图如下,TnI 4.353。最有可能的心梗部位是( )。
选项:
A:下壁
B:前壁
C:高侧壁
D:前间壁
答案: 【下壁】
2、单选题:
以下哪种高血压类型的诊室血压测量值常为正常范围:( )
选项:
A:原发性高血压
B:白大衣高血压
C:继发性高血压
D:隐蔽性高血压
答案: 【隐蔽性高血压】
3、多选题:
患者女性,69岁,无明显诱因下出现晕厥,晕厥时动态心电图记录如下图。患者电解质正常,超声心动图正常,动态心电图诊断( )

选项:
A:室性早搏
B:基线干扰
C:R on T室性心动过速
D:心室颤动
E:QT间期延长
F:交界性逸搏心律
答案: 【室性早搏;
R on T室性心动过速;
心室颤动;
QT间期延长;
交界性逸搏心律】
4、判断题:
连续两个或者两个以上的P波不能下传心室者常称为高度房室阻滞。( )
选项:
A:错
B:对
答案: 【对】
5、判断题:
患者男性,85岁,因突发胸痛5小时入院,急诊心电图检查如下,考虑急性广泛前壁心肌梗死。( )
选项:
A:错
B:对
答案: 【对】
第二章 单元测试
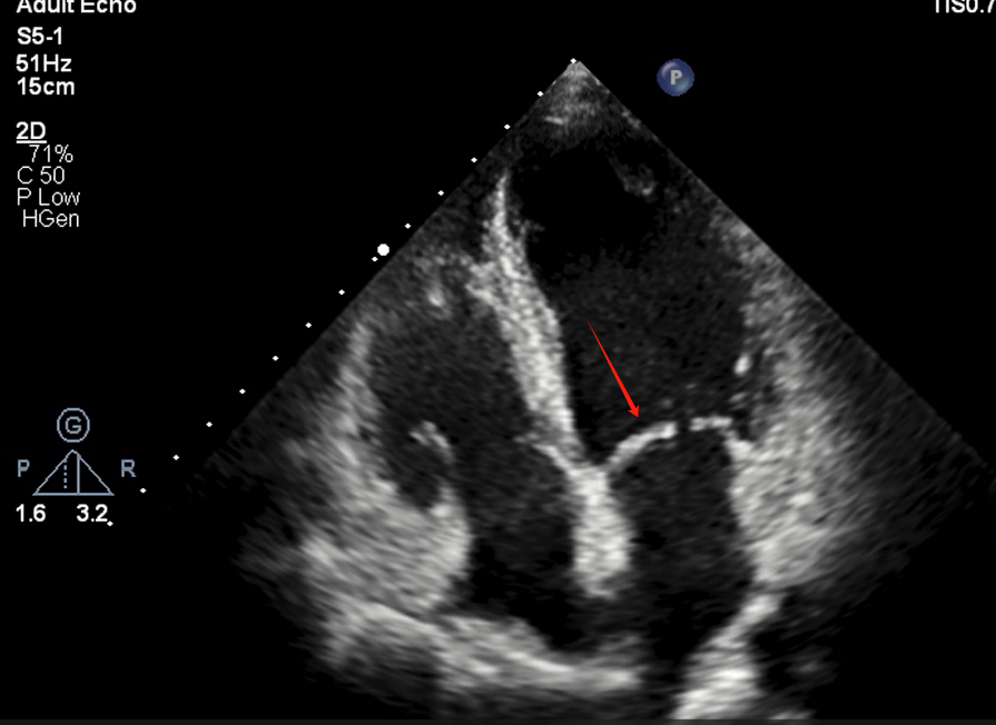
1、单选题:
箭头所指结构为:( )
选项:
A:三尖瓣
B:主动脉瓣
C:二尖瓣
D:肺动脉瓣
答案: 【二尖瓣】
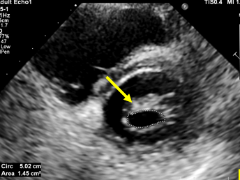
2、单选题:
请问图中显示的瓣膜呈“鱼嘴样”开放指的是哪一种疾病:( )
选项:
A:二尖瓣狭窄
B:主动脉瓣关闭不全
C:二尖瓣关闭不全
D:主动脉瓣狭窄
答案: 【二尖瓣狭窄】
3、多选题:
右心室的评价指标主要有( )。
选项:
A:三尖瓣环收缩期位移(TAPSE)、
B:三尖瓣反流峰值流速TR
C:右心室面积变化分数(RV-FAC)
D:组织多普勒三尖瓣环收缩期速度(S’)
答案: 【三尖瓣环收缩期位移(TAPSE)、;
右心室面积变化分数(RV-FAC);
组织多普勒三尖瓣环收缩期速度(S’)】
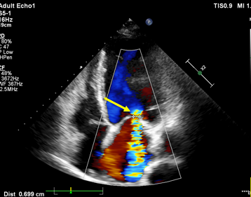
4、判断题:
图中所示的五彩血流信号是指二尖瓣狭窄吗? ( )
选项:
A:对
B:错
答案: 【错】
5、判断题:
心肌声学灌注成像(MCE)时,缺血心肌表现为灌注降低或灌注缺失。( )
选项:
A:对
B:错
答案: 【对】
本门课程剩余章节答案为付费内容
支付后可长期查看
有疑问请添加客服QQ:2025479448反馈
购买期末请+QQ:2025479448
如遇卡顿看不了请换个浏览器即可打开
请看清楚了再购买哦,电子资源购买后不支持退款哦
